あなたのクマの状態に合わせて治療を
ご提案します!
前日
必ず前日夜または当日朝に入浴をしてご来院ください
アルコール・下剤の服用、激しい運動
当日
麻酔を使用するためスニーカー等歩きやすいお履き物がおすすめです
手術の6時間前からコーヒー、乳製品、ジュース類、食事など固形物の飲食は禁止
手術の2時間前から水、お茶など飲み物を禁止
ご自身の運転による車やバイクでのご来院(当日は薬の影響や術後の痛みなどを考慮し、危険防止のため)
貴金属などのアクセサリーは外してきてください
当日の持ち物
眼帯・サングラス・メガネ・帽子など目元を隠せるようなもの
コンタクトケース・メガネ(お帰りの際、コンタクトレンズは装着出来ません。普段お使いのメガネをお持ちください)






































































DOCTOR'S COMMENT
ドクターコメント
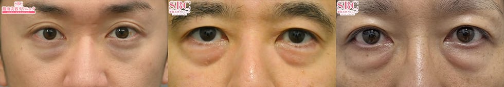
疲れ目、目元のたるみを、皮膚を切らずに治す方法、それが目の下の切らないクマ・たるみ(ふくらみ)取りです。この方法では、目元のクマ・タルミの原因を作る眼窩脂肪を、まぶたの裏側から摘出し、目元の印象を若くすることができます。ダウンタイムも少ない部類の手術であり、値段もお手頃、満足度が非常に高い施術です。所要時間およそ30分以内に終えることができ、痛みも感じることはありません。目元のクマ、たるみでお悩みの方は、ぜひご検討下さい。
技術指導医
本田 賢治 医師